Японы шүдний их сургуультай дүйцэхүйц хэмжээний туршлагатай Монгол Prodent шүдний эмнэлэгт тавтай морил
Яагаад PRODENT гэж?
Мэргэжлийн чадварлаг эмч нар
Япон, Куба, Солонгос зэрэг тэргүүлэгч орнуудад мэргэшсэн шилдэг эмч нар танд олон улсын стандартаар үйлчилгээ үзүүлдэг.
Сүүлийн үеийн тоног төхөөрөмж
Бид Америк, Герман, Япон улсын хамгийн сүүлийн үеийн тоног төхөөрөмж ашиглан үйлчилдэг.
Цогц үйлчилгээ
Нүүр амны нарийн мэргэжлийн үйлчилгээний бүх төрлөөр таны хүсэлд бүрэн нийцсэн чанартай үйлчилгээг үзүүлдэг.
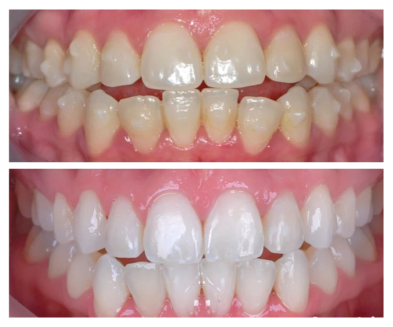
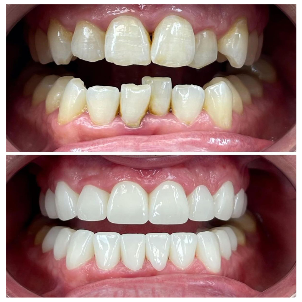
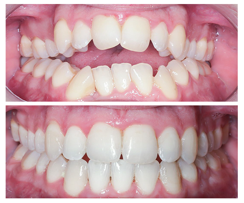
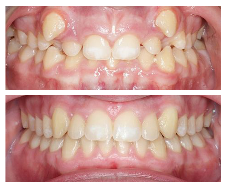
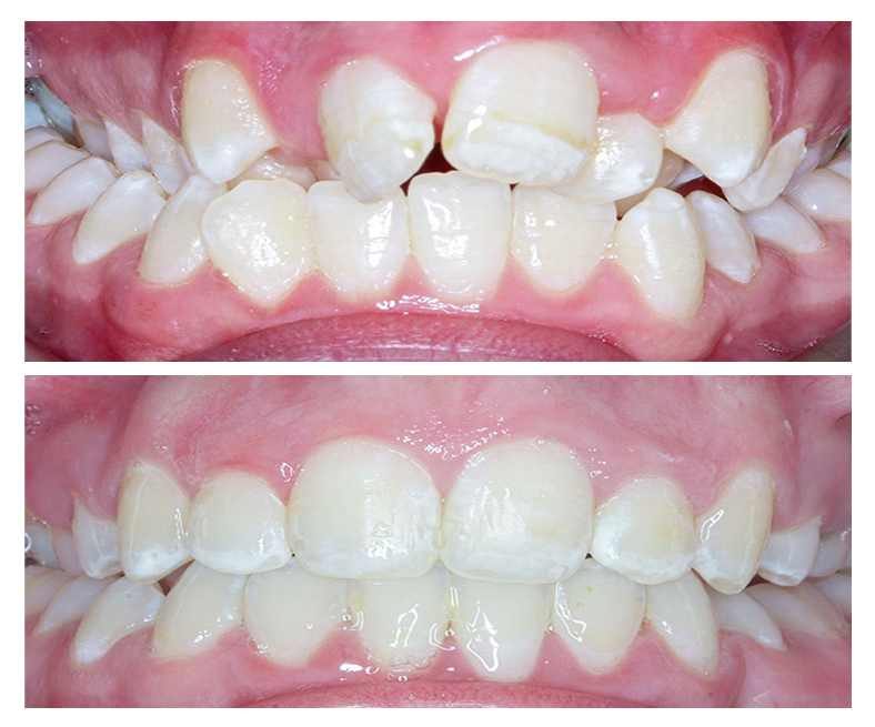
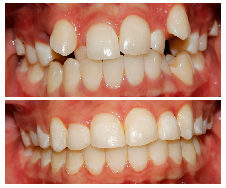
АМЖИЛТТАЙ ГҮЙЦЭТГЭСЭН ЭМЧИЛГЭЭ
Хийсэн Ажлууд
Бидний үйлчилгээ
ХАМТРАН АЖИЛЛАГЧ БАЙГУУЛЛАГУУД

13 хороолол, Натурын дунд зам дагуу, Pizza hut-ийн замын эсрэг талд.
Яармаг, Hunnu Mall худалдааны төвийн эсрэг талд, New Garden үйлчилгээний төв, 2 давхартМэдээллийн булан
Салбар 1: 13 хороолол, Натурын дунд зам дагуу, Pizza hut-ийн замын эсрэг талд.
Салбар 2: Яармаг, Hunnu Mall-ийн эсрэг талд, New Garden 2 давхарт













































